Business OpportunityUpdated on 31 October 2025
Clinical utility of computational pathology for the identification of HER2-low and -ultralow breast cancer
Project Manager in Digital Pathology at Palex
Barcelona, Spain
About
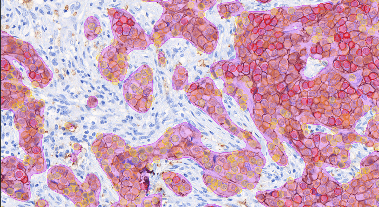
Breast cancer is the second most commonly diagnosed cancer globally and a major cause of cancer-related mortality. Approximately 70% of all breast cancers are HR-positive, HER2-negative. Recent advances—particularly antibody–drug conjugates (ADCs) have shown significant clinical benefit in patients with HER2-low and HER2-ultralow metastatic breast cancer. These innovations broaden access to targeted therapies and provide significant opportunities to patients with urgent clinical needs. However, the reliable identification of HER2-low and ultralow tumors remains a critical diagnostic challenge, due to the subjective and variable nature of manual HER2 immunohistochemistry (IHC) scoring.
Aligned with the PRECISEU vision to advance precision oncology and digital health solutions, this project proposes a multicentric, prospective, clinical utility study to evaluate the diagnostic performance, time efficiency (time-per-case), and cost-effectiveness of IVDR-certified AI-powered computational pathology (CPATH) tools for HER2-low and ultralow assessment. The study will compare manual pathologist-based scoring with AI-assisted analysis using IVDR platforms such as Aiforia, using consensus among experienced breast pathologists as diagnostic gold standard.
Participating sites will include both reference pathology labs across Europe to ensure broad clinical relevance. Stratified analysis will be conducted by HER2 IHC category (0, 1+, 2+/ISH–), with emphasis on diagnostically ambiguous cases.
This project aims to deliver high-quality evidence on the real-world utility of AI in breast cancer diagnostics.
Stage
- TRL 7
Topic
- Bioinformatics
- Neoplasms/cancer/oncology
Sector
- AI
- Diagnostics
- Oncology
Type
- Clinical validation
- Consortium partners
Organisation
Similar opportunities
Business Opportunity
Implement Cancer Genome Interpretater (CGI) in oncology - Looking for clinical sites
- AI
- TRL 7
- Genomics
- Oncology
- Licensing
- Diagnostics
- Bioinformatics
- Regulatory expert
- Clinical validation
- Consortium partners
Olivia Tort
CGI-Clinics project manager at IRB Barcelona
Barcelona, Spain
Business Opportunity
- TRL 6
- Other
- Other
- Genomics
- Oncology
- Proteomics
- Licensing
- Health data
- Bioinformatics
- Co-development
- Regulatory expert
- Clinical validation
- Consortium partners
- Research collaboration
- Neoplasms/cancer/oncology
- Diseases of the blood and immune disorders
Giovanni Roti
Prof. Hematology - Head THEC lab at University of Parma
Parma, Italy
Business Opportunity
Personalized peptide-based cancer immunotherapy
- TRL 6
- TRL 7
- TRL 8
- ATMPs
- Oncology
- Proteomics
- Diagnostics
- Bioinformatics
- Clinical validation
- Consortium partners
- Research collaboration
- Neoplasms/cancer/oncology
- Infectious and parasitic diseases
Oliver Reimann
Head of Sales, Marketing & BD at Intavis Peptide Services
Tuebingen, Germany